Endometrial Cancer The Role of Radiation Therapy in Endometrial Cancer expert roundtables By Floortje J. Backes, MD; Richard T. Penson, MD, MRCP; Pamela T. Soliman, MD, MPH
Endometrial Cancer Expert Roundtables Podcast: Adjuvant Therapy for Endometrial Cancer expert roundtables By Floortje J. Backes, MD; Richard T. Penson, MD, MRCP; Pamela T. Soliman, MD, MPH
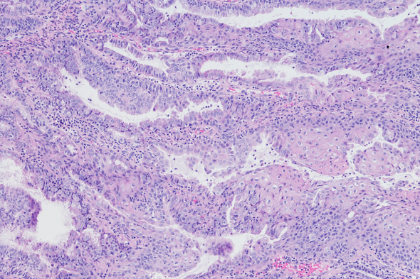
Endometrial Cancer The Role of Neoadjuvant Therapy for Advanced Endometrial Cancer clinical topic updates By Floortje J. Backes, MD
Endometrial Cancer The Impact of Endometrial Cancer on Mental and Emotional Well-Being patient care perspectives By Richard T. Penson, MD, MRCP
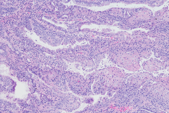
Endometrial Cancer Predicting Endometrial Cancer Recurrence and Response to Adjuvant Therapy clinical topic updates By Richard T. Penson, MD, MRCP